2019即将结束要跨进崭新的一年啦!
12月年末大促?抢到就是赚到?
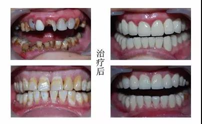
即将经历新的一年了,您的牙齿还好吗?
是选择老样子(牙黄、牙齿不齐、龅牙)迎接新的一年吗?
还是选择新生蜕变一口好牙迎来新的一年?
牙博士口腔为回馈新老客户一年来的支持与帮助,
现特推出“年末大促庆典,感恩与您同行”大型回馈活动,
活动时间:12月1日——12月31日

牙博士口腔
用专业的技术和先进的医疗器具,
守护您的口腔健康,
年末大促庆典,抢到就是赚到!!
▼▼▼
种植牙:半价(指定品牌)
① 韩国登腾种植系统:原价8800元,特惠价6600元
② 韩国奥齿泰种植系统:原价9800,特惠价7000元
③ 美国皓圣种植体:原价14000元,特惠价7000元
④ 瑞典种植系统:原价21000元,特惠价12800元
⑤ 瑞典Active种植:原价28000元,特惠价18800元
其余种植主项全系8.5折优惠
在这个世界上,父母,是我们最要重要的人!可当父母一年又一年的老去,本该是享受清闲而有口福的时光。但是身体的各个器官开始衰退,牙齿首当其冲。长期处于缺牙甚至无牙的状况,严重影响他们的生活质量。新的一年即将来临,也要给父母重建一口好牙了!

中欧韩国际齿科权威亲诊:
①免专家挂号费;
②免全景拍片费;
③免专家设计费。
牙齿正畸:自锁矫正仅需12888元(指定品牌)
① 埃蒙迪智能金属自锁托槽:特惠价12888元
② 日本托米半隐形自锁托槽:特惠价14800元
③ 三比智能金属自锁托槽:特惠价13800元
④ 时代天使隐形矫正单模:特惠价19800元
⑤正雅隐形矫正:特惠价16800元
⑥ 隐适美隐形矫正:7折
其余正畸项目主项8.5折优惠
(其中:国产金属托槽正畸,国产陶瓷托槽正畸,美国3m金属托槽正畸,不打折扣)
正畸是指矫正牙齿,解除错牙和畸形。近些年,随着人们对口腔健康和牙齿美观的重视,对正畸的需求日益增长。越来越多的人进行牙齿矫正!


全瓷牙冠 :购一送一(指定品牌)
① 二氧化锆全瓷牙:原价2000元,特惠价1588元
② 西诺德全瓷牙:原价3600元,购一送一
③ 威兰德全瓷牙:原价5800元,特惠价2888元
其余主项目全系8.5折优惠
全瓷牙是指在治疗的牙根上做一个内冠,该内冠是一层全瓷的透明支撑骨架,然后在它的外冠面烤上一层与天然牙色泽相近的瓷粉,最后粘结在牙齿上,是一种近几年才开展的一种高科技的镶牙方法,针对成人错位牙、畸形牙也有改善效果。


瓷贴面 :购一送一(指定品牌)
① E.max瓷贴面:原价2800元,特惠价1688元
② 义获嘉超薄贴面:购一送一
③ MEGA 美加超薄贴面:原价6200元,特惠价3888元
其余主项目全系8.5折优惠
瓷贴面是一种牙齿修复体。在相对少磨牙的情况下,对牙体表面缺损、着色牙、变色牙等用瓷修复材料粘结覆盖其表面,恢复牙体的正常形态和改善其色泽。


其他项目:
① 皓齿美白:原价1600元,特惠价1212元
② 美国尚白:原价2500元,特惠价1500元
③美国3m补牙:原价200元,特惠价112元(仅限一颗)